Skip Navigation
Skip to contents

KSES E-NEWSLETTER No.1 June, 2022 KSES E-NEWSLETTER No.1 June, 2022

대한견주관절학회

  • 학회 홈페이지
발행인: 오주환 / 편집인: 조남수, 김정연 / 발행처: 사단법인 대한견·주관절의학회 홍보위원회 / 후원 : 사단법인 대한견·주관절의학회 발행인: 오주환 / 편집인: 조남수, 김정연 / 발행처: 사단법인 대한견·주관절의학회 홍보위원회 / 후원 : 사단법인 대한견·주관절의학회

의료칼럼:
3D Navigation guided reverse shoulder arthroplasty

한림대 강남성심병원 노 규 철


기존의 reverse total shoulder arthroplasty 수술은 수술 전 촬영한 영상을 통해 인공관절이 들어갈 각도, 위치, 크기를 결정해서 수술 시 Surgeon의 감각에 의해 뼈를 절삭하고 인공관절을 삽입한다. 수술 시 오차를 줄이도록 고안된 가이드와 가이드 라인이 있지만, Surgeon의 손과 감각에만 의존하다 보니 미세한 오차가 발생할 수 있고 이에 따라 수술 후 부작용 발생할 수 있고 그에 따라 인공관절의 수명이 줄어들 수 있다.

이 같은 한계를 극복하기 위한 방법으로 Naviagation(GPS) guided technique이 개발되었다. Richard B.등(JSES, 2020)이 30례의 사례를 대상으로 한 연구에 따르면, 기존의 freehand 기법을 이용하여 RTSA 수술을 시행한 군과 새로운 Navigation guided technique을 이용하여 수술을 시행한 군을 비교했을 때 Glenoid baseplate의 Version(5.9±3.5° vs 1.9±1.9° ; P=0.004), Inclination(6.3±6.2° vs 2.4±2.4° ; P=0.026) 기존의 방법보다 훨씬 해부학적으로 정확하게 삽입되었음을 확인할 수 있다. 이 technique의 장점은 수술 전 촬영한 영상을 토대로 미리 측정, 결정한 Glenoid baseplate의 삽입 위치를 수술 중 실시간으로 확인할 수 있고, 또한 Glenoid baseplate에 삽입하는 screw의 방향 및 길이도 확인 할 수 있다는 점이다.

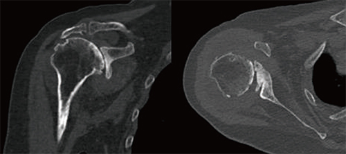
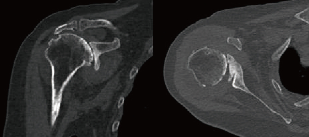
저자는 Glenoid의 glenoid vault가 14mm로 bone loss가 심한 Cuff tear arthropathy 환자에게 Navigation guided technique을 이용하여 Cortical bone augmentation을 시행하고 Glenoid baseplate를 성공적으로 고정하였고, 이 case를 공유하고자 한다. 81세 여환으로 Massive cuff teararthropathy(Hamada classification 5) 진단되었다. Glenoid의 bone loss가 심해서 인공관절의 glenoid baseplate를 삽입하기 힘든 구조였고(그림1) 이를 보완하기 위해 수술 시 Humeral head cutting시 생기는 cortical bone으로 glenoid에 augmentation을 시행하고 위에 baseplate를 대서 적절한 위치에 삽입하도록 계획을 세웠다. 예상대로 glenoid의 bone loss가 심하여 reaming이후에 baseplate를 삽입할 surface가 거의 남지 않았고 screw의 방향이 정확하게 가는 지 확인할 방법이 없었다. 하지만 Navigation(그림 2)의 guide에 따라 남아있는 glenoid의 bone stock에 최대한 긴 screw를 fixation 하였고 수술전에 planning 한대로(그림 3) humeral head의 cortical bone을 이용하여 augmentation을 시행한 뒤(그림 4)에 baseplate를 위치시켰고, 결과적으로 적절한 길이의 screw가 삽입될 수 있어 성공적으로 수술을 마쳤다. 수술 X-ray에서 인공관절이 수술 전 계획했던 대로 환자의 해부학적 위치에 맞게 제 위치에 적절히 삽입되었음을 확인할 수 있었다. 수술 후 cortical bone augmentation과 glenoid surface의 bone union이 촉진되도록 parathyroid hormone제제를 사용했다. 재활은 수술 후 환자는 bed side에서 pendulum 및 scapular stretching exercise를 자가 시행하였으며, 수술 1개월 후 보조 막대기를 이용하여 passive forward elevation 및 abduction을 했다. 수술 3개월 후 active shoulder ROM exercise를 시행했으며 수술 6개월 후 nearly full ROM을 회복하였다. 현재 환자는 수술 부위 통증도 거의 없으며 평소에 불편해하던 반대쪽 어깨도 수술 받고 싶어할 정도로 만족도가 높다.


그림 1, 수술 전 환자의 CT, Glenoid bone loss 및 deformity가 심해 RTSA glenoid component 삽입이 어려워 보인다.


그림 2, 수술 시 환자의 CT를 수술 중 확인하며 이를 Navigation guided 하에 reaming 및 glenoid component를 삽입할 수 있다.


그림 3, Exactech Navigation guided RTSA - Preoperative planning software를 사용하여
수술 전 glenoid의 형태 를 파악하고 friedman line을 기준으로 Version, Inclination, Reaming depth를
결정하였으며 적절한 모양의 glenoid component 및 size를 선택하여 bony contact 면적률을 높였다.


그림 4, Glenoid reaming 후 남은 bone이 거의 없어 glenoid baseplate를 삽입하기 어려워져서
humeral head cortical bone을 이용하여 augmentation 시행했다.

이 수술방식의 장점은 수술 전 Pre-operative planning에서 환자의 glenoid 및 scapula의 형태에 따른 RTSA glenoid baseplate 부품의 삽입위치를 계획할 수 있다는 점이다. 특히, 이 방법은 glenoid의 모양이 RTSA glenoid baseplate 부품이 삽입되기 어려울 경우 빛을 발할 수 있다. 환자의 glenoid bone loss가 있는 환자에서는 골 이식 정도 및 위치를 미리 가늠할 수 있어, 수술이 어려울 수 있는 glenoid 혹은 변형이 심한 glenoid를 가진 환자에게도 편리하고 유용하게 수술을 진행하게 해준다. 한편, Navigation guided RTSA 100례 이상 수술을 경험한 Joseph D. Zuckerman에 따르면 체격이 크고 근육질인 환자에서는 Navigation system이 원활하게 guide되지 않아 수술 후 screw가 원하는 대로 고정되지 않았던 두개의 case를 경험했다고 발표한 바가 있어 주의가 필요할 것으로 사료되나, 아직 20례 이상 경험한 저자의 경우 Navigation이 부정확하게 작동되는 경우는 없었다.

COPYRIGHT 사단법인 대한견·주관절의학회. ALL RIGHTS RESERVED.

사단법인 대한견·주관절의학회 서울특별시 동대문구 무학로 193-1, 지하 1호 (Tel. 02-2072-3930)